Dermoid kist (matür ovarian teratom)
Embryonik yaşamın başlarında kabaca 3 hücre tabakası bulunur. Bu tabakalar farklılaşarak değişik hücre ve doku gruplarını, sonunda da organları oluştururlar. Bu tabakalara germ hücre tabakaları adı verilir. Germ hücreleri kadınlarda yumurtalık, erkeklerde ise testislerde bulunur ve yumurta ile sperm hücresinin yapımından sorumludur. Bu hücrelerden gelişen tümörler pekçok değişik dokuyu barındırma yeteneğine sahiptirler. Genelde baskın olan germ tabakası ektoderm adı verilen tabakadır. Bu tabakadan başta deri ve deri ekleri olmak üzere değişik dokular gelişir. Bu nedenle yumurtalıkta görülen iyi huylu germ hücre tümörleri “dermoid kist” olarak adlandırılmaktadır.
Aslında bu adlandırma çok gerçekçi değildir, çünkü dermoid kist adı ile anılan kitlenin içinde pekçok değişik doku bulunabilir. Bu kitle için doğru ve günümüzde bilimsel çevrelerde kabul edilen ad “matür teratom“dur. Bunun yanında aynı patolojiyi tanımlamak için kullanılan diğer terimler “matür kistik teratom” ve “benign ovarian kistik teratoma”dır
Tarihçe
Dermoid kist terimi ilk kez 1831 yılında Leblanc tarafından kullanılmıştır. Leblanc bir atın kafatası içinden çıkardığı bir tümörde saç ve deri eklerine benzeyen elementler gördüğünde buna deri anlamına gelen dermis sözcüğünden esinlenerek kist dermoid adını vermiştir. Teratom sözcüğünü ise ilk kez 1863 yılında Virchow, Yunanca canavar anlamına gelen_teraton_ kelimesinden esinlenerek türetmiştir. Günümüzde her iki sözcük de birbirinin yerine kullanılmaktadır.
Terotomlar birden çok germ tabakasından köken alan ve yine birden fazla hücre tipi içeren tümörlerdir. Nadiren sadece tek bir germ tabakasından gelişmiş tümörler de olabilir. Teratomların iyi huylu ya da kötü huylu (kanser) olması içerdikleri hücre türlerinin farklılaşma derecesine (matür-immatür) bağlıdır. İmmatür teratomlar kötü huylu, matür teratomlar ise iyi huyludur.
Görülme sıklığı
Dermoid kist ya da matür teratom en fazla kuyruk sokumu bölgesinde (sakrokoksigeal teratom) görülür. Olguların %57’si bu alandadır. %27’si ise gonadlarda yani kadınlarda yumurtalık erkeklerde ise testistedir.
Sakrokoksigeal teratoma her 20.000-40.000 canlı doğumda bir rastlanılır.
Matür kistik teratom yani dermoid kist ise tüm over tümörlerinin %10-20’sini oluşturur. En sık görülen germ hücreli over tümörü olmasının yanısıra 20 yaşından genç kızlarda en sık karşılaşılan over tümörüdür.
Her yaşta görülebilmekle birlikte en sık üreme çağındaki kadınlada görülür.
Genelde tek taraflı olmakla birlikte %8-15 olguda her iki yumurtalıkta da dermoid kist bulunur
**Yapısı
**Dermoid kist bütün germ hücrelerinden parçalar taşıyabilir ancak genelde baskın olan ektoderm tabakasıdır. Bu nedenle deri ve deri eklerine ait kısımlar daha fazla görülür. Deride bulunan sebase salgı bezleri dermoid kist içinde de bulunduğundan kist sıvısı koyu kıvamlı, sarı-kahverengi renkli, yağlı, yoğun bir sıvıdır. Kist içinde çoğu zaman saç, kıl, diş, kemik, kıkırdak, sinir gibi dokular bulunur.

Resimde içinde diş içeren bir dermoid kistin
röntgen filmindeki görüntüsü izlenmektedir.

Ameliyat sırasında dev dermoid kist

Dermoid kist içinde saç
İçerisinde yoğun olarak tiroid dokusu içermesi durumunda kişide tiroid hormonlarının aşırı salgılanması söz konusu olur. Bu durumda patolojiye struma ovarii adı verilir ve hipertiroidi bulguları ortaya çıkar.
Boyutları çok değişkendir. Birkaç santimetreden yarım metreye kadar değişebilir.
Kansere dönme olasılığı var mıdır?
Dermoid kistin kansere dönme olasılığı son derece düşüktür. Olguların %1-2’sinde uzun dönemde kanserleşme görülebilir.
Klinik ve Tanı
Dermoid kist genelde belirti vermez ve başka bir nedenle yapılan muayene, ultrason incelemesi, radyolojik inceleme ya da ameliyatlar sırasında tesadüfen fark edilir. Olguların yaklaşık %65’inde herhangi bir yakınma yoktur.
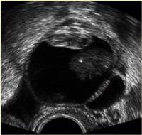
Dermoid kistin ultrasonografik görüntüsü
Belirti varlığında en sık karşılaşılan yakınma karın ağrısıdır. Bunun yanısıra karında şişkinlik ve anormal uterin kanama görülebilir. Daha nadir karşılaşılan yakınmalar ise idrar ya da dışkılama problemleri ile sırt ağrısıdır. Struma ovarii varlığında hipertiroidi ile ilgili yakınmalar görülür.
Komplikasyonlar
Dermoid kist bazı komplikasyon risklerini de beraberinde taşır. Bunlar torsiyon, rüptür, enfeksiyon ve kansere dönüşümdür.
**Torsiyon:**Dermoid kistin en sık karşılaşılan ve en korkulan komplikasyonu torsiyondur. İçeridiği dokular ve koyu kıvamlı sıvı nedeni ile ağır bir kisttir. Bu ağırlık yumurtalığın kendi etrafında dönmesine yani torsiyonuna neden olabilir. Torsiyon varlığında yumurtalığa giden kan akımı azalacağı ya da kesileceği için bir süre sonra kangren meydana gelir. Torsiyonun klinik bulgusu ağrıdır. Olay ilerledikçe ağrı artar. Bazen tam bir torsiyon olmaz ve hafif ağrı ile birlikte kendini belli eder. Bir süre sonra yumurtalık detorsiyone olarak normal konumuna döner ve ağrı kaybolabilir. Dermoid kist varığında torsiyon görülme sıklığı %3.2-16 arasındadır. Kistin büyüklüğü arttıkça torsiyon riski de artar.
Rüptür: Dermoid kistin rüptüre olması yani patlaması kendiliğinden olabileceği gibi torsiyona bağlı da gelişebilir ve %1-4 olguda karşılaşılır. Rüptür aniden oluştuğunda genelde şok gelişir. İçerdiği yağlı sıvı ve diğer dokular karın zarını irrite ederek tehlikeli bir durum olan kimyasal peritonite neden olabilir. Bazen ise küçük bir rüptür alanından yavaş bir sızıntı olur. Bu durum karın ağrısı ile beraber karın içinde şiddetli iltihap ve yapışıklıklara yol açar.
Enfeksiyon: Nadir görülen bir komplikasyondur ve olguların %1’inden daha azında karşılaşılır.
Kansere dönüşüm: Saf formunda matür kistik teratom iyi huylu bir tümördür. Ancak %1-2 olguda immatür bileşenler de bulunabilir ve kansere dönişim söz konusu olabilir. Böyle bir durumda 5 yıllık yaşam şansı %15-31 arasındadır.
Tedavi
Dermoid kistin tedavisi cerrahidir. Fark edildiği anda çıkartılması uygun olur.
Operasyon laparoskopik ya da açık ameliyat şeklinde yapılabilir. Ancak uygun vakalarda laparoskopik yaklaşım tercih edilmelidir.

Dermoid kistin laparoskopideki görünüşü
Genelde üreme çağındaki kadınlarda görüldüğünden yumurtalık dokusunun korunmasına özen gösterilmeli ve sadece kist çıkartılmalı, yumurtalık alınmamalıdır. Operasyon sırasında kist rüptüre olursa karın boşluğu dikkatlice temizlenmeli, karın içinde kist içeriğine ait materyal kalmamasına büyük özen gösterilmelidir. Aksi taktirde kimyasal peritonit ortaya çıkabilir. Bu açıdan dermoid kist operasyonları özel deneyim ve dikkat gerektiren operasyonlardır.
Alınan materyal mutlaka patolojik incelemeye gönderilmeli ve immatür bileşenler olmadığı gösterilmelidir.
Tek taraflı olgularda diğer yumurtalıkta herhangi bir kitle yoksa biopsi almaya gerek yoktur.
Dermoid kist %4 olguda tekrarlayabilir.
Bu makale içerisinde yer alan bilgiler genel bilgilendirme amaçlıdır ve bilimsel araştırmalara dayalı veriler sunmaktadır. Bu içerik, bir doktorun profesyonel tıbbi tavsiyesi, tanısı veya tedavisinin yerini alamaz. Sağlığınızla ilgili her türlü tıbbi sorunuz için mutlaka doktorunuza danışınız.
