Doppler Ultrasonografi

Siz sabit bir yerde dururken bir ambulansın önünüzden siren çalarak geçip gittiğini hayal edin. Ambulans size doğru gelirken ve sizden uzaklaşırken sireninin çıkardığı sesi duymaya çalışın. Ambulans size doğru yaklaşırken ses giderek artacak daha sonra ise giderek azalacaktır. Ses dalgarının ya da sesin ulaştığı kaynağın sabit olmayıp hareket etmesinden kaynaklanan bu durum Doppler etkisi olarak adlandırılır. İlk kez Avusturyalı bir fizikçi ve matematikçi olan Christian Doppler tarafından tanımlanan bu etki ultrasonda da kullanılmaktadır.

Ambulans örneğine geri döndüğümüzde araç size yaklaşırken sirenden çıkan ses dalgalarının yüksekliği ve frekansı artacak, uzaklaşırken de tam tersi olacaktır. Siz bu etki ile ambulansın yaklaştığını ya da uzaklaştığını sadece sirenin sesini dinleyerek anlayabilirsiniz. Eğer sesteki bu değişimlerin hızını ölçebilirseniz ambulansın hızını da tahmin edebilirsiniz. İşte doppler ultrasonografinin mantığı da benzerdir.

Vücut içerisinde herhangi hareketli bir dokuya gönderilen ses dalgalarının yansıma hızları arasındaki fark o cismin proba doğru mu yoksa proba ters yönde mi hareket ettiğinin anlaşılmasını sağlar. Doppler incelemelerinde hedef alınan hareketkli cisimler kırmızı kan hücreleri yani alyuvarlardır.

bizcihDamarlar içindeki akım ultrasonografide iki türlü gösterilebilir. Birincisi normal ultrason görüntüsü üzerinde damarların rekli olarak gösterilmesi (renkli doppler), ikincisi ise akımın normal görüntünün dışında bir grafik olarak (spektral doppler) gösterilmesidir . Bu grafikler akım eğrileri olarak adlandırılır ve her damar için farklı özellikler taşır. Renkli doppler modunda proba doğru olan ve probdan uzaklaşan akımlar kırmızı ve mavi renkler ile ekrana yansır. Bu görüntü elde edildikten ve ilgili damar saptandıktan sonra odak bu damar üzerine uygulanmak suretiyle aynı anda spektral doppler incelemesi de yapılarak kan akım hızları ve bu akıma karşı damarda ortaya çıkan direnç ile ilgili matematiksel ölçümler yapılabilir.

Doppler özelliği taşıyan ultrason cihazları geleneksel cihazlara göre son derece pahalı olduğundan her merkezde bulunmazlar ve bu nedenle çoğu zaman doppler incelemeleri gebeliği takip eden doktor dışında başka bir doktor tarafından yapılmaktadır.

Halk arasında renkli ultrason olarak yanlış şekilde tarif edilen, özel eğitim ve deneyim gerektiren detaylı ultrason incelemesi ile doppler incelemesi birbirinden farklı işlemlerdir.

Doppler neden yararlıdır?
Kan oksijen ve besin maddelerini dokulara taşıyıp, atık maddeleri de bu doklardan uzaklaştırarak dokuların canlılığını sürdürmesini sağladığından herhangi bir dokuya olan kan akımlarının ölçülmesi o dokunun yeterli şekilde kanlanıp kanlanmadığının anlaşılması bazı durumlarda önemlidir.

Örneğin yumurtalığının kendi etrafında döndüğü over torsiyonu durumlarında over yeteri kadar kanlanmayacağından gangrene gidebilir ve kaybedilebilir. Böyle bir durumdan şüphelenildiğinde yapılacak doppler incelemesi ile overin yeteri kadar kanlanıp kanlanmadığının saptanması ameliyat kararı verilmesinde kritik önem taşıyabilir.

Öte yandan kanser ortaya çıktığı dokuda neovaskülarizasyon adı verilen yeni damarların oluşmasına neden olur. Yumurtalıklarda bir kitle varlığında bu artmış damarlanmanın doppler ile gösterilmesi patolojinin iyi ya da kötü huylu olduğu yönünde değerli ipuçları verebilir.

Gebelik takipleri açısından bakıldığında ise dopplerin bazı hastalık ve durumlar açısından risklerin saptanmasında önemli rolü vardır. Normalde gebelik ile birlikte rahimi besleyen damarlardaki direnç azalır ve rahime dolayısı ile plasenta ve bebeğe olan kan akımı artar. Bu direncin azalmaması ve kan akımının düşük kalması durumunda doppler akım eğrilerinde çentikleşmeler gözlenir.

Doppler tarama testi olarak adlandırılan inceleme ile hamileliğin 20. haftası civarında uterin arter adı verilen ve rahimi besleyen ana atardamarlar ile göbek kordunu içinde bulunan atardamardaki kan akımlarının ölçülmesi ve buradaki direncin değerlendirilmesi ile ileride ortaya çıkabilecek gebelik zehirlenmesi (preeklempsi), rahim içi gelişme geriliği, plasentanın erken ayrılması (ablasyo plasenta), anne karnında bebek ölümü gibi durumlar açısından artmış risklerin öngörülebileceği iddia edilmektedir.

Buna göre her iki uterin arterin doppler incelemesinde çentikleşme gözlenmesinin patolojik ya da pozitif tarama testi olarak kabul edilmesi ve yakın takip yapılması önerilmektedir.

Ancak konu ile ilgili yapılmış çalışmaları bir arada değerlendiren bir araştırma sonucunda her hastada doppler tarama testinin yapılmasının gerekli olmadığı, sadece yüksek risk altındaki gebelerde uygulanması gerektiği sonucu ortaya konmuştur (Bricker L, Neilson JP. Routine Doppler ultrasound in pregnancy (Cochrane Methodology Review). In: The Cochrane Library, Issue 4, 2003. Chichester, UK: John Wiley & Sons, Ltd.).

Göbek kordonu içinde bulunan atardamardaki kan akım eğileri de bebeğe giden kan miktarının saptanmasına ve özellikle gelişme geriliği olan durumlarda bebeğin içinde bulunduğu sıkıntılı durumun değerlendirilmesinde önemli rol oynar. Gebeliğin son dönemlerinde ileri derecede azalmış bir akım anne karnında bebek ölümlerine neden olabileceğinden doğum kararı verilmesinde kritik öneme sahiptir.

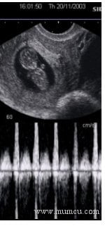
12_dop_kalpBunlar dışında renkli doppler incelemesi erken dönemde bebeğin kalp atımlarının görülmesi ve dinlenmesi amacıyla da kullanılır. Yandaki fotoğrafta 9 hafta 6 günlük bir gebelikte bebek kalp atımlarının doppler ile incelenmesi izenmektedir.Başka bir uygulama alanı da bebeğin kalbinden çıkan ana damarların gözlenmesidir. Rutin gebelik ultrasonografisi sırasında bebeğin idrar kesesinin iki yanında damarsal yapıların gözlenmesi de olası bir anomali riskini azaltan bir bulgudur.

Nasıl yapılır?
Doppler ultrasonografi için ayrı bir incelemeye gerek yoktur. Eğer rutin gebelik takipleri sırasında kullanılan ultrason cihazında doppler özelliği varsa doktorunuz herhangi bir dönemde bu moda geçerek kan akımlarını izleyebilir ve ölçebilir. Örneğin 6 haftalık bir gebelikte ilk ultrason yapılırken bebeğin kalp atımları bu şekilde dinlenirken daha ileriki bir dönemde bebeğin idrar kesesi görüldüğünde hemen iki yanındaki damarsal yapılar renkli doppler ile izlenebilir.

Gebeliğin 20. haftası civarında yapılan detaylı ultrasonografi sırasında doktorunuz gerek görür ise rahimi besleyen damarlardaki kan akımlarını ölçebilir.

Daha ileri dönemlerdeki rutin incelemelerde göbek kordunundaki kan akımları ölçülerek bebeğin içinde bulunduğu durum değerlendirilir.

Doppler riskli midir?
Teorik olarak bakıldığında doppler ultrasonografinin bölgesel sıcaklık artışı ve baloncuk oluşturma riski daha yüksektir. Bu nedenle yine teorik olarak bu incelemenin yarattığı risk normal ultrason incelemesine göre biraz daha yüksektir. Ancak hayvan deneylerinde uzun süre doppler uygulanması durumunda dokularda yaklaşık 2.5 °C’lik bir artış olabileceği gösterilmekle birlikte bu düzey bile insanlarda güvenlidir ve gebelikteki doppler incelemeleri bu kadar uzun sürmemektedir. Bugüne kadar insanlar üzerinde yapılan doppler incelemelerine bağlı olumsuz bir etki bildirilmemiştir.

⚠️ Önemli Bilgilendirme

Bu makale içerisinde yer alan bilgiler genel bilgilendirme amaçlıdır ve bilimsel araştırmalara dayalı veriler sunmaktadır. Bu içerik, bir doktorun profesyonel tıbbi tavsiyesi, tanısı veya tedavisinin yerini alamaz. Sağlığınızla ilgili her türlü tıbbi sorunuz için mutlaka doktorunuza danışınız.